Nhiều quốc gia bỏ Pap smear trong sàng lọc ung thư cổ tử cung
- Thanh Long
- •
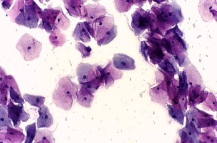
Pap smear (xét nghiệm Papanicolaou) từng là phương pháp sàng lọc ung thư cổ tử cung đã được sử dụng rộng rãi từ giữa thế kỷ XX. Tuy nhiên trong những năm gần đây, một số quốc gia bắt đầu từ bỏ dần vai trò của xét nghiệm này.
Lý do của sự thay đổi
Xét nghiệm HPV đang có xu hướng được sử dụng để thay thế cho test Pap. Xét nghiệm HPV không tìm biến đổi tế bào mà phát hiện sự hiện diện của virus nguy cơ cao trong mẫu bệnh phẩm cổ tử cung.
Sự thay đổi này xuất phát từ khác biệt về nguyên lý giữa hai phương pháp. Pap smear là xét nghiệm tế bào học, đánh giá hình thái tế bào tại thời điểm lấy mẫu. Kết quả phụ thuộc vào chất lượng lấy mẫu, kỹ thuật xử lý và khả năng đọc lame của nhân viên y tế. Dù Pap smear nhúng dịch (liquid-based cytology) đã cải thiện phần nào độ đồng đều của mẫu, xét nghiệm này vẫn cần nhiều nhân lực được đào tạo và thời gian xử lý.
Trong khi đó, xét nghiệm HPV sử dụng các kỹ thuật sinh học phân tử như PCR để phát hiện vật liệu di truyền của virus. Phương pháp này cho phép xác định sự hiện diện của các type HPV nguy cơ cao, bao gồm các type thường được ghi nhận liên quan đến ung thư cổ tử cung. Xét nghiệm HPV có thể thực hiện trên cùng loại mẫu lấy từ cổ tử cung và có thời gian bảo quản mẫu dài hơn so với Pap smear.
Một số hệ thống y tế đánh giá rằng xét nghiệm HPV có thể phát hiện nguy cơ sớm hơn so với Pap smear, do nhiễm HPV thường xảy ra trước khi xuất hiện biến đổi tế bào. Trên cơ sở đó, HPV test được sử dụng làm xét nghiệm sàng lọc ban đầu (primary screening), còn Pap smear được dùng như xét nghiệm bổ sung trong trường hợp HPV dương tính, nhằm đánh giá mức độ tổn thương tế bào và quyết định các bước theo dõi tiếp theo.
Việc thay đổi phương thức sàng lọc cũng kéo theo điều chỉnh về tần suất xét nghiệm. Ở những chương trình sử dụng HPV test làm xét nghiệm chính, khoảng cách giữa các lần sàng lọc thường được kéo dài hơn so với Pap smear truyền thống. Ngoài ra, do mẫu xét nghiệm HPV có thể bảo quản và vận chuyển trong thời gian dài, một số chương trình cho phép người tham gia tự lấy mẫu tại nhà và gửi đến phòng xét nghiệm.
Tuy nhiên, xét nghiệm HPV cũng có những đặc điểm cần lưu ý. Tỷ lệ nhiễm HPV cao hơn ở phụ nữ trẻ, và phần lớn các trường hợp nhiễm này có thể tự khỏi mà không tiến triển thành tổn thương tiền ung thư. Vì vậy, ở nhóm tuổi trẻ, xét nghiệm HPV có thể cho kết quả dương tính mà không kèm theo tổn thương thực sự, dẫn đến nhu cầu theo dõi hoặc can thiệp bổ sung. Do đó, nhiều chương trình chỉ áp dụng HPV test làm xét nghiệm sàng lọc chính từ một độ tuổi nhất định, thường là 25 hoặc 30 tuổi trở lên.
Pap smear vẫn dùng ở một số quốc gia
Hiện nay, một số quốc gia đã áp dụng xét nghiệm HPV làm phương pháp sàng lọc chính trên phạm vi toàn quốc, trong khi các quốc gia khác triển khai theo từng giai đoạn hoặc từng khu vực. Tại Canada, việc chuyển từ Pap smear sang HPV test được thực hiện theo tỉnh bang, với thời điểm và lộ trình khác nhau. Ở Hoa Kỳ, các hướng dẫn hiện hành vẫn cho phép nhiều lựa chọn, bao gồm Pap smear, HPV test hoặc kết hợp cả hai, tùy theo quyết định của bác sĩ và người được sàng lọc.
Tại nhiều quốc gia thu nhập trung bình và thấp, Pap smear vẫn được sử dụng rộng rãi do chi phí thấp hơn và hạ tầng xét nghiệm sinh học phân tử chưa đồng đều. Một số nơi áp dụng đồng thời nhiều mô thức sàng lọc khác nhau, tùy điều kiện cơ sở y tế và nguồn lực địa phương.
Thanh Long t/h
Từ khóa Ung thư cổ tử cung Pap smear































